">
荊楚網(湖北日報網)訊(通訊員陳建輝、鄭威)近日,孝感市中心醫院胸心外科黃維江主任攜團隊成功完成了華中地區首例單孔機器人輔助下的巨大前縱隔腫物切除手術,標志著該院胸心外科在微創技術領域實現了重大突破,邁入新的發展里程碑。

醫生正在進行單孔機器人手術。通訊員供圖
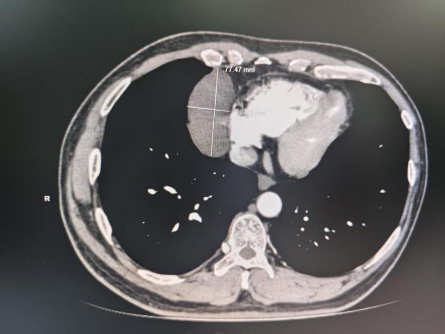
44歲的文先生,在活動后常常出現胸前悶脹不適的癥狀。經過詳細檢查,發現其體內存在一個直徑約8cm的巨大右前縱隔腫物,且該腫物緊緊貼附在心臟表面,使得手術難度大幅增加,風險極高。若采用傳統的開胸手術,患者將面臨較大創傷、漫長恢復時間以及心肺功能受到較大影響的困境。

患者縱隔腫物影像。通訊員供圖
面對這一復雜棘手的狀況,黃維江主任迅速組織團隊開展多學科討論,在與患者充分溝通并獲得同意后,最終決定采用單孔機器人輔助經右胸入路的方式切除該縱隔腫瘤。
黃維江介紹,單孔機器人腔鏡手術優勢顯著。一方面,其術中操作更為精準,機器人的機械臂具備靈活且穩定的特性,能為手術提供清晰視野,借助放大的3D成像技術,手術操作者能夠更有效地保護神經和血管,從而極大降低手術并發癥的發生風險;另一方面,相較于傳統多孔機器人及胸腔鏡手術,單孔機器人手術的創傷更小,更有利于患者術后快速恢復。
手術過程進展順利,僅耗時一小時便順利完成,手術切口小于3cm。術后,患者恢復情況樂觀,當晚即可開始流質飲食。由于手術創傷微小,患者疼痛感較輕,能夠較早下床活動,身體機能迅速恢復。術后第四天,患者各項生命體征平穩,順利康復出院。
黃維江表示:“單孔機器人手術代表了當前微創胸外科的最高水平之一。它突破了人手的極限和傳統腔鏡的視角局限,尤其在處理位置深、解剖結構復雜、風險極高的縱隔腫瘤時,展現出無可比擬的精準性、安全性和微創優勢。此次手術的成功,意味著孝感及周邊地區更多復雜胸部疾病的患者,在家門口就能享受到國際先進的微創手術技術,以更小的創傷、更快的恢復解決大問題,真正實現了大病不出市的優質醫療服務目標。
Copyright ? 2001-2025 湖北荊楚網絡科技股份有限公司 All Rights Reserved
互聯網新聞信息許可證 4212025003 -
增值電信業務經營許可證 鄂B2-20231273 -
廣播電視節目制作經營許可證(鄂)字第00011號
信息網絡傳播視聽節目許可證 1706144 -
互聯網出版許可證 (鄂)字3號 -
營業執照
鄂ICP備 13000573號-1
鄂公網安備 42010602000206號
版權為 荊楚網 www.cnhubei.com 所有 未經同意不得復制或鏡像