">
荊楚網(湖北日報網)訊(通訊員 劉敬為 鄭威)近日,孝感市中心醫院胸心外科與呼吸內科聯合憑借先進的醫療技術,成功運用 LungPro導航為兩名肺結節患者實施精準微創切除手術。此次手術的順利開展,彰顯了醫院在肺部疾病診療領域的卓越實力,也為肺結節患者帶來了更精準、安全、高效的治療新選擇。

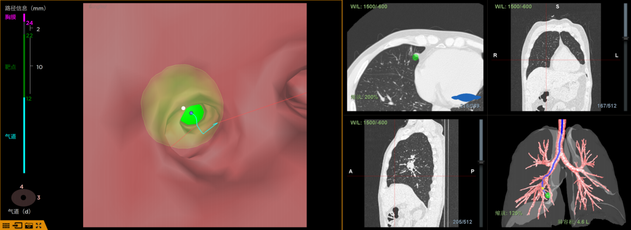
LungPro導航,即增強現實光學全肺診療導航,被譽為“肺內 GPS”,可根據患者CT數據,以1:1的比例重建全肺 3D 地圖,直觀且精準地呈現肺部結構與結節位置,并自動規劃出避開血管的最優手術路徑,其定位誤差控制在 1 毫米以內。有效攻克深部、微小、亞實性肺結節的定位難題,實現肺部手術“指哪打哪”的精準目標。

在傳統的肺部疾病診療中,針對緊鄰膈肌、心臟等重要部位的肺深部結節,采用傳統 CT 穿刺定位存在較高風險,不僅容易損傷周圍臟器,且治療費用相對昂貴。而 LungPro 導航通過自然氣道無創抵達病灶部位,無需使用額外耗材,具備低成本、零輻射、零血氣胸風險等顯著優勢,對直徑小于 10mm 的微小結節診斷率高達 96%,極大程度保障了患者的醫療安全與經濟利益。

孝感市中心醫院胸心外科鄭威主任表示:“此次運用 LungPro 導航系統成功完成手術,是醫院內外聯動多學科合作在肺部疾病治療領域的一次重要突破。該技術的應用顯著提升了肺結節手術的精準性與安全性,讓更多患者能夠受益于微創、高效的治療方案。”
LungPro 導航在孝感市中心醫院的成功應用,是醫院持續提升醫療技術水平、推進醫療技術創新的有力體現。未來,醫院將繼續不斷深耕醫療技術領域,為守護廣大群眾的肺部健康貢獻更多力量。
Copyright ? 2001-2025 湖北荊楚網絡科技股份有限公司 All Rights Reserved
互聯網新聞信息許可證 4212025003 -
增值電信業務經營許可證 鄂B2-20231273 -
廣播電視節目制作經營許可證(鄂)字第00011號
信息網絡傳播視聽節目許可證 1706144 -
互聯網出版許可證 (鄂)字3號 -
營業執照
鄂ICP備 13000573號-1
鄂公網安備 42010602000206號
版權為 荊楚網 www.cnhubei.com 所有 未經同意不得復制或鏡像