">
屬于兒童的專屬節日——“六一”兒童節即將來臨,各種網紅玩具的銷量也開始激增,但一些網紅玩具卻存在極大的安全隱患,所以家長在為孩子選購玩具時一定要仔細謹慎。小編為您整理出了十二種安全隱患很大的網紅玩具,家長們一定要慎購。
一、軟泥
大部分3歲及以上的孩子對水晶泥、橡皮泥等軟泥都有著蜜汁熱情,因為軟泥可以捏出各種造型,對孩子創造力的塑造是有幫助的。
但是,市場上存在著大量不合格的軟泥,亮晶晶、五顏六色的很吸引人,卻含有有毒物質——硼砂。

硼砂毒性很大,攝入2-5克,就可能導致生命危險。
孩子玩了之后,經常會不記得洗手,手上硼砂就會伴隨著食物進入到體內,長期積累下來,少量誤食的危險性也很大。
二、水彈槍
近幾年男孩子超愛的水彈槍,射擊威力十分驚人,甚至還能傷人。

它的子彈,跟水寶寶是一個原理,在水里先泡發了,變得有彈性之后,威力巨大。
在一個實驗中,水彈槍的射速可以達到每秒10發左右。在1米內,可以輕易將雞蛋擊碎,將蘋果打爛,將紙箱擊穿。如果孩子將槍對準其他人,后果不堪設想。
三、巴克球
現在很多孩子在玩的益智網紅玩具巴克球,是一種強磁石。
巴克球在網上賣得非常火,銷量好的店家銷量都達到萬件,很多家長留言都是買回去給孩子玩的。

但是,這些小小的巴克球,卻傷過很多孩子。2017年10月,上海的一戶家庭,2歲的妹妹在看7歲哥哥玩巴克球時,將小圓球放入嘴中,被發現后立刻送醫,但已經胃穿孔及腸穿孔。2016年9月,江蘇鎮江一名4歲的女孩突然肚子痛,也是因為吞食巴克球,被診斷為腸梗阻。
一顆巴克球雖然直徑只有幾毫米,但它的磁力竟高達4000高斯,能吸起兩三枚一元的硬幣。
一旦被孩子誤吞,它們的磁力就會穿透過人體組織相吸在一起,導致胃腸穿孔或阻塞,嚴重的話還會引發血液中毒或死亡。
四、激光筆
激光筆也是不少孩子喜歡的玩具,但它卻是國家質檢總局發布的《保護兒童眼睛產品質量安全認知調查結果》中,存在較大安全隱患的兒童類產品排名第一位的玩具。

光筆中發出的高功率紅外線,如果大量瞬間聚集到視網膜上,就會使感光細胞凝固變形壞死,從而對眼睛造成不可逆的傷害。
寧波的一個12歲的男孩,就因為玩激光筆,雙眼失明。

激光筆不僅對眼睛有害,還能灼傷皮膚,擊穿報紙,燒焦雞爪表皮。
鹿城區消防大隊就曾經做過一次實驗。僅用20秒鐘,激光筆就能將8層厚的報紙擊穿一個小洞;僅用10秒,激光筆就能將雞爪的表皮燒焦一個小黑點。所以,激光筆不僅會傷眼、傷人,如果將它對準易燃物品,還很可能引發火災。
五、指尖陀螺
指尖陀螺,不僅孩子喜歡,不少大人也喜歡。

有人做了這樣的實驗,高速旋轉的指尖陀螺,可以將雞蛋殼輕易打碎。
旋轉起來就如同刀片一樣鋒利的指尖陀螺,對于成人來說都已經很危險,更別說小孩了。之前就有新聞報道過,一位男孩被高速旋轉的指尖陀螺打到了嘴巴,嘴唇上縫了27針。

這個玩具,也是高危,嚴重的話,甚至還能奪命。
六、牙簽弩
牙簽弩,形同弓弩,可以將牙簽放在槽里當作“箭”發射出去。

尖頭的牙簽,通過弩的力作用一發射,穿透力非常大。
有人做過實驗,牙簽弩可以輕易穿過紙板,擊穿氣球。如果將牙簽換成金屬針,可以輕易射進豬肉4厘米。如果將牙簽弩對著人,后果不堪設想。
七、網紅氣球
現在在街頭經常看到這些網紅氣球,不管大人小孩都喜歡,不少明星也是它的粉絲。
這種發光氣球,零部件包含一個透明氣球,一串五彩的LED燈帶,和兩節電池。

一通電,的確非常漂亮,但是安全隱患卻非常大,一旦發生爆炸,極有可能會傷到人。
網紅氣球之所以會爆炸,是因為里面的氣體。氣球里如果充的是氦氣,則不會爆炸,因為氦氣是一種惰性氣體,比較安全。氣球里如果充的是氫氣,則容易爆炸,因為氫氣是一種易燃氣體。
但從外觀上,我們是無法判斷里面充了什么氣體的。
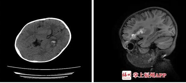
八、回彈軟軸乒乓球
據了解,這種回彈軟軸乒乓球結構簡單,不用對手都可以自己一個人在家里打乒乓球。

但已有多名兒童被這款網紅玩具所傷。
福建一女童小文在獨自玩這個文具時,支撐桿的接口突然斷開,小文不慎往前跌倒,桿子從她的左眼刺進去,孩子血流不止,疼得大哭。家人趕緊把小文送到醫院。醫生發現,這根塑料桿有筷子般粗,插入了小文的左眼。CT檢查顯示,異物已進入顱內,導致顱內出血。全身麻醉后,神經外科醫生幫小文拔出了桿子,觀察一天后,她的狀況穩定,才轉院繼續治療。
福建另一3歲女童小美在家玩回彈軟軸乒乓球。不久,客廳傳來嚎啕大哭聲,小美媽媽聞訊趕來,只看到玩具上的不銹鋼軟軸已插入小美左眼上方。父母帶著小美到醫院治療。接診專家介紹,軟軸刺入造成了小美開放性顱腦損傷、顱內少量血腫、左眼眶上壁骨折伴左眼眶周圍軟組織挫裂傷。醫生說:“萬幸不銹鋼軟軸只是從眼球邊上擦過,沒造成眼球破裂。但還是出現了玻璃體積血,孩子后期視力可能會受影響。”

由于工藝問題,玩具的各個連接部位并不牢固。如果固定不好的話,擊球過程中,乒乓球會脫落,但軟軸照樣會擺動。這時就相當于尖銳的軸直接暴露在孩子跟前,很容易扎傷眼睛。
九、電擊玩具
電擊玩具內安裝有加壓裝置,能瞬間升高電流形成脈沖波,接觸者在接觸后就會產生觸電的感覺。
這些玩具被做成巧克力、簽字筆、口香糖、手槍、魔方等各種樣式。

在玩具放電瞬間,電壓可高達600多伏。
十、金屬飛鏢
這類金屬飛鏢在小學周邊的小商店中就能買到。

由于飛鏢拿在手里非常帥氣,因而受到小學生的歡迎。但其鋒利的邊角可能會對人產生很大的傷害。
十一、口袋彈弓
口袋彈弓由一個類似氣球的橡膠“袋”和一個塑料圓環組成,拉動橡膠部分,就可以彈射彈珠或弓弩。
可在3米外射穿易拉罐,殺傷力較大。

十二、假水
在文具店,購買“假水”玩具的學生不在少數。
“假水”玩具外形就像縮小版的飲料瓶,外觀和色彩與目前市場上多款知名飲品包裝高度相似。玩具里面的液體透明或半透明,呈現出各種飲料的顏色,有的還散發出淡淡的清香。

這種“假水”玩具并不是真的“安全環保”。曾有記者采購了9款14批次“假水”樣品,送到檢測機構進行化學測試。取樣檢測數據顯示,這14批次“假水”樣品竟然全部含有超過歐盟玩具安全限值的硼元素,最多的大概超標了6倍多。
中小學生或兒童在玩耍“假水”的過程中,通過破損的皮膚以及口部不慎直接或間接接觸,都會使過量的硼砂進入人體,久而久之會不斷累積,埋下健康隱患。
現在,市場上真的太多各種新奇的玩具了。我們能做的就是練就一雙火眼金睛,在沒有判斷力的孩子之前,搶先一步去替他們甄別,為孩子把好安全大關。
1、一定要在正規渠道購買,經過安全認證的正規玩具。
2、要注意看玩具說明,包括產品合格證、生產廠家、適用年齡、以及安全警示語等。
3、要注意聞玩具的氣味是否刺鼻,摸一摸是否容易掉色,是否有尖銳的零件,填充物是否均勻,檢查燈光是否會刺激孩子眼睛,聲音是否過大等等。
孩子安全無小事!
再次提醒家長們
給孩子選玩具的時候
千萬要留心!
整理:甘小芳(實習生)
來源:GRT今日一線、人民日報、海峽都市報、新聞晨報、中國教育報、央視新聞等
Copyright ? 2001-2025 湖北荊楚網絡科技股份有限公司 All Rights Reserved
互聯網新聞信息許可證 4212025003 -
增值電信業務經營許可證 鄂B2-20231273 -
廣播電視節目制作經營許可證(鄂)字第00011號
信息網絡傳播視聽節目許可證 1706144 -
互聯網出版許可證 (鄂)字3號 -
營業執照
鄂ICP備 13000573號-1
鄂公網安備 42010602000206號
版權為 荊楚網 www.cnhubei.com 所有 未經同意不得復制或鏡像