">
小小蛀牙
竟引發大量胸水?
近日
市兒童醫院兒童重癥醫學科
收治了一名大量胸水的患兒

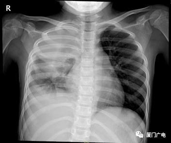
8歲的妍妍因高熱、氣急就診
完善檢查發現大量胸腔積液
入院立即行胸腔穿刺術
抽取胸水檢出牙齦卟啉單胞菌
給予抗感染以及后續胸腔廓清手術治療
患兒病情好轉

據悉,妍妍既往有蛀牙情況 ,平時未得到重視,此次胸水檢出的牙齦卟啉單胞菌即為牙周致病菌。

蛀牙會導致牙根發炎
細菌及代謝產物通過牙根周圍骨組織
進入血液
或通過筋膜間隙
到達肺部,損害肺部
小小的蛀牙也能帶來如此嚴重的后果
兒童牙病不可輕視
中國兒童患齲率非常高
根據第四次全國口腔健康流行病學的調查結果顯示,中國5歲兒童乳牙齲患率為70.9%,12歲兒童恒牙齲患率為34.5%,兒童齲病患病率呈上升趨勢。
乳牙蛀如果沒有及時治療,可能會發展成為牙髓、根尖周病變,對其下方的恒牙胚發育造成影響,使牙胚不發育或形成囊腫,造成繼替恒牙牙釉質發育不全,甚至恒牙異位萌出。
除此之外,乳牙齲齒還對全身健康有危害,由于齲齒疼痛,以及乳牙齲壞早失,導致咀嚼功能降低,胃腸消化吸收減弱,造成機體營養不良,生長發育受到影響;還可因齲齒引起根尖周圍感染,造成全身感染,如關節炎、腎炎、心肌炎等。
兒童齲齒重在預防
那么
該如何保護口腔健康
預防齲齒呢?
1
注意口腔清潔,堅持早晚兩次刷牙,飯后漱口
2
養成良好生活飲食習慣,少吃甜食、粘性高、酸性高的食物,多吃粗纖維的食物
3
采用專業措施,接受局部用氟防齲、窩溝封閉等措施
4
定期口腔健康檢查,每半年一次,做到早發現,早治療,獲得更多口腔保健知識。
口腔健康很重要
大家一定要重視起來!
早發現!早治療!
記者/張璐
來源:廈門廣電
Copyright ? 2001-2025 湖北荊楚網絡科技股份有限公司 All Rights Reserved
互聯網新聞信息許可證 4212025003 -
增值電信業務經營許可證 鄂B2-20231273 -
廣播電視節目制作經營許可證(鄂)字第00011號
信息網絡傳播視聽節目許可證 1706144 -
互聯網出版許可證 (鄂)字3號 -
營業執照
鄂ICP備 13000573號-1
鄂公網安備 42010602000206號
版權為 荊楚網 www.cnhubei.com 所有 未經同意不得復制或鏡像