">
最近,臨平10歲男孩小杰(化名)一覺睡醒,脖子突然“癱”了,甚至連平躺都變得困難,小杰疼得在家哇哇大哭,這可把媽媽嚇壞了,她趕緊帶著孩子來到醫院檢查。
10歲男孩, 頸椎老化程度
超過成年人,已是不可逆傷害
小杰媽媽告訴臨平區中西醫結合醫院針灸推拿科王建之主任,大概一個月前,小杰感覺脖子和肩膀酸脹,但那時稍微活動活動還能緩解,沒想到短短一個月癥狀越來越嚴重,小杰開始頭暈,頸椎痛得坐立難安,連睡覺都像在“受罪”一樣。

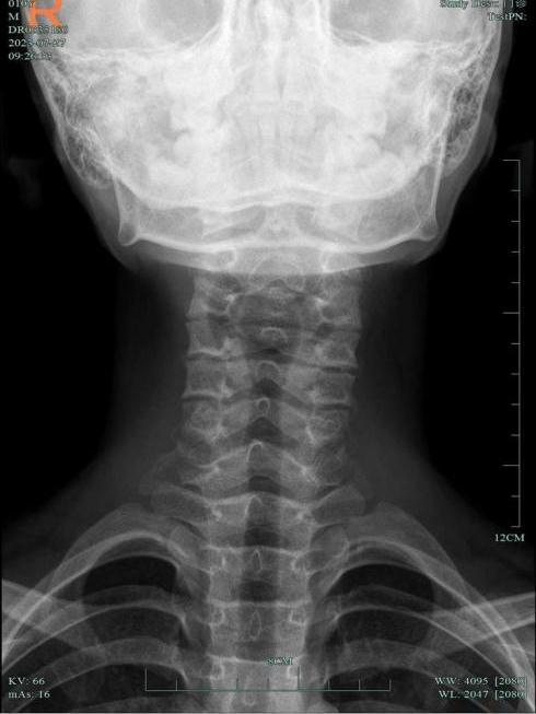
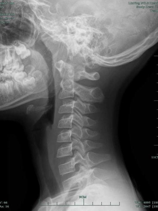
王主任查看小杰的頸部DR片驚訝地吐出四個字:一塌糊涂!
小杰頸椎病變嚴重,小關節錯位,頸椎反弓。明明才10歲,頸椎已經跟30歲的人一樣,老化程度甚至超過不少接診的成年人。


一般這種程度的頸椎病,很難在小孩身上看到,患者以長時間對著電腦辦公的白領居多。最關鍵的是,這種傷害是不可逆的。治療只能得到改善,也就是說,頸椎病將伴隨小杰終生!
一個10歲孩子怎么會有如此嚴重的頸椎病?
在王主任和小杰媽媽的反復追問下,小杰終于支支吾吾道出了實情……
孩子暑假手機、平板不離手
暑期已接診十幾位小患者,最小的3歲
原來,小杰的爸爸媽媽平日里工作較忙,暑假把小杰托給了老家的長輩們照看,老人家疼愛孩子,舍不得嚴厲管教,近一個月以來,除了吃飯、睡覺,小杰幾乎是手機、平板不離手。王主任告訴記者,孩子的骨骼、韌帶還沒發育成熟,頸部肌肉等都比成年人弱,長時間低頭使用電子設備,頸椎受損的可能性更大,且進程也更快。
今年暑假過了一個多月
他們已經接診了十五六個小朋友
最小的才3歲

手機管理成為家長最大難題之一
正確引導很重要
孩子的手機管理
已經成為不少家長暑期難題之一
有家長表示
因為手機,自己和孩子還產生了爭執
如何幫助孩子管理手機
1.父母要給孩子做好榜樣
育兒先育己,父母的一舉一動都是孩子模仿的對象。家長們要嚴于律己,嚴格控制自己玩手機的時間,尤其是在和孩子相處的時候,要盡量減少電子產品的使用,做到專心陪伴。在要求孩子不要玩手機的時候,自己也要首先做到,給孩子樹立榜樣。如果不希望孩子在手機上投入太多精力,家長就要減少手機和電腦的娛樂和游戲時間。
2.幫助孩子明確手機的定位
除草的最好方法,就是種上莊稼。家長要指導孩子使用手機輔助學習,讓孩子意識到手機也是一種學習工具。針對孩子的特點和興趣,為孩子選擇一些學習軟件,有目標有選擇地引導孩子利用手機學習,既獲得了知識,又拓展了興趣。
快樂的學習體驗會讓孩子對手機的功能有全面的理解,他們會意識到,手機不再是玩具,屏幕的那邊連接的是一個廣闊的世界,那里有無窮盡的知識寶藏。當然,在手機上學習和查閱資料的時候要注意屏幕時長,保護好眼睛。
3.嚴格規定作息時間
家長可以為孩子安排好每天學習、鍛煉、休息、娛樂的時間,并嚴格執行。如果執行中存在困難,家長可以適當采取激勵式辦法進行監督。
4.幫助孩子培養興趣愛好
家長可以趁假期培養孩子的興趣,讓孩子把時間投入到有趣又有意義的事情上。如:多帶孩子進行體育鍛煉,讓孩子和自己一起運動,形成良好的親子關系,讓孩子體會手機之外的樂趣;鼓勵孩子多參加集體活動,讓孩子在集體活動中去結識志同道合的朋友。
綜合天天看臨平、區中西醫結合醫院、人民教育
來源:杭州日報
Copyright ? 2001-2025 湖北荊楚網絡科技股份有限公司 All Rights Reserved
互聯網新聞信息許可證 4212025003 -
增值電信業務經營許可證 鄂B2-20231273 -
廣播電視節目制作經營許可證(鄂)字第00011號
信息網絡傳播視聽節目許可證 1706144 -
互聯網出版許可證 (鄂)字3號 -
營業執照
鄂ICP備 13000573號-1
鄂公網安備 42010602000206號
版權為 荊楚網 www.cnhubei.com 所有 未經同意不得復制或鏡像